Chest X Ray For The Diagnosis Of Lung Cancer
Lung Cancer X Rays Fail To Detect Almost A Quarter Of Cases
Lung Cancer Wikipedia
Chest X Rays Miss Nearly Quarter Of Lung Cancers Review Finds
X Rays Failing To Spot Lung Cancers In A Quarter Of Patients Daily Mail Online
Chest X Rays Mayo Clinic
Annual Chest X Rays Don T Cut Lung Cancer Deaths National Institutes Of Health Nih
Study Shows Chest X Rays Miss Up To A Fifth Of Lung Cancer Cases Cantest
Deep Learning Helps Radiologists Detect Lung Cancer On Chest X Rays Physics World
Lung Cancer Pictures X Rays Of Tumors Screening Symptoms And More
Chest X Ray Diagnosing Lung Cancer Cancer Research Uk
Q A Detecting Lung Cancer Early
Riverain Onguard Improves Detection Of Lung Cancer Imaging Technology News
Looking For Lung Cancer With A Yearly X Ray Doesn T Reduce Deaths Shots Health News Npr
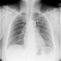
Lung Cancer Radiology Case Radiopaedia Org
Cureus Adenocarcinoma Of The Lung Presenting With Intrapulmonary Miliary Metastasis
Can X Ray Detect Lung Cancer Cancer News Update
Imaging Tests Lungevity Foundation
Left Lower Lobe Lung Cancer Radiology Case Radiopaedia Org
Early Detection Of Copd Could Help Prevent Lung Cancer Health The Earth Times